
企业微信

联系电话

公众号

返回顶部

技术服务项目
暂无数据

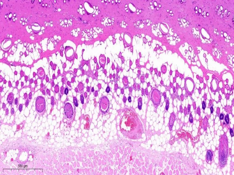
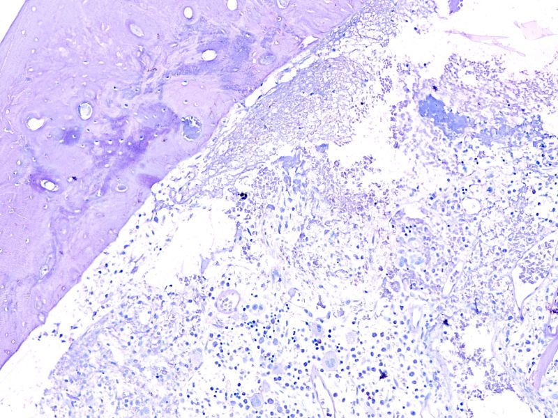
骨组织脱钙
编号:YSY10101

石蜡包埋
编号:YSY10102

石蜡切片
编号:YSY10103

冰冻切片
编号:YSY10104

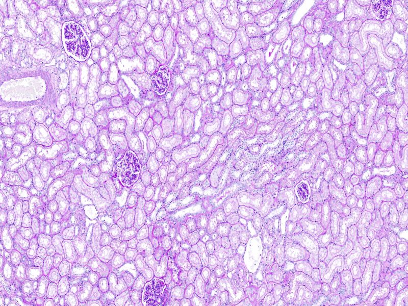
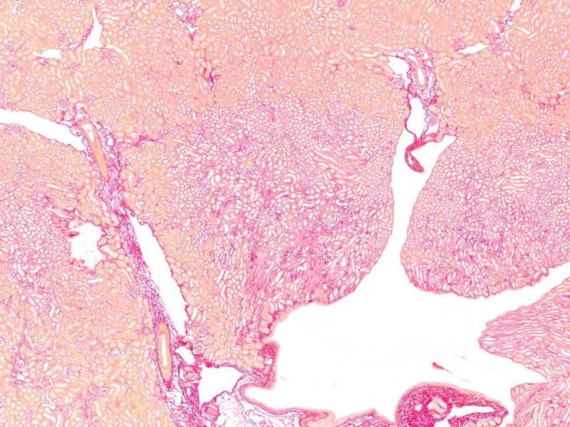
HE染色
编号:YSY10105

HE分析(病理描述)
编号:YSY10106

HE分析(测量)
编号:YSY10107

tunel染色(白光)含扫片
编号:YSY10112

tunel染色(荧光)含扫片
编号:YSY10113

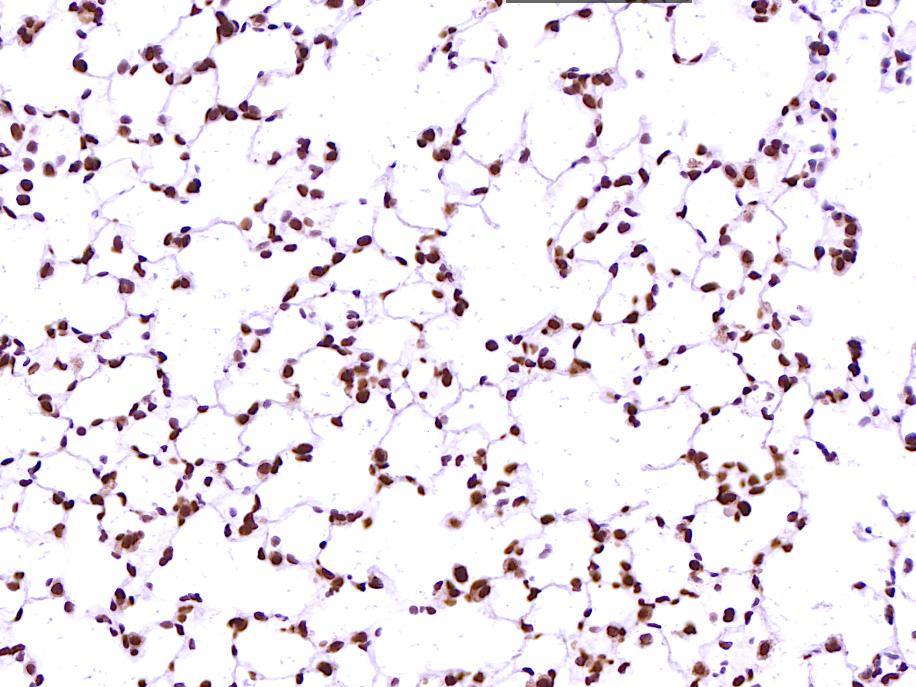
tunel分析
编号:YSY10114

masson染色
编号:YSY10115

PAS糖原染色
编号:YSY10116

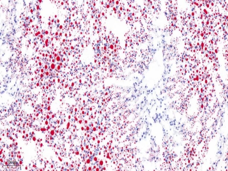
油红O染色
编号:YSY10117

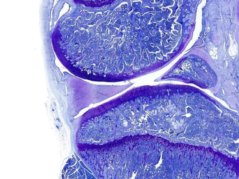
甲苯胺蓝染色
编号:YSY10118

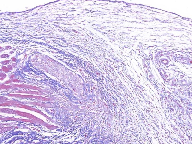
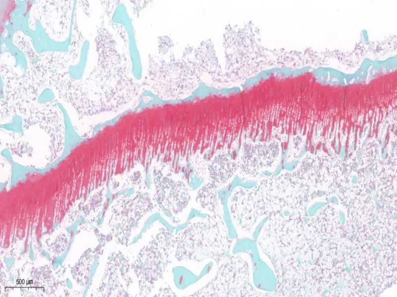
番红-固绿染色(软骨)
编号:YSY10119

天狼星红染色
编号:YSY10120

尼氏染色
编号:YSY10121

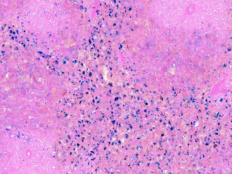
普鲁士蓝染色
编号:YSY10122

LFB髓鞘染色
编号:YSY10124

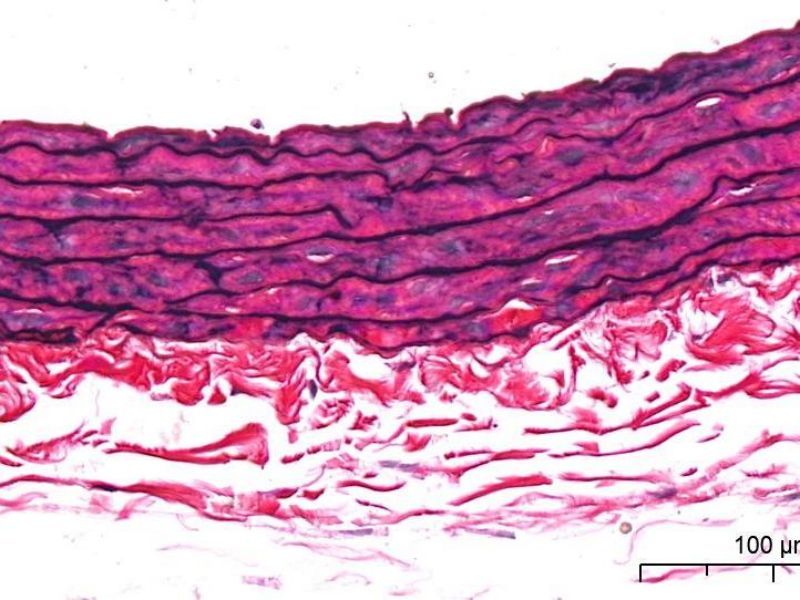
EVG染色
编号:YSY10126

阿立新兰染色
编号:YSY10127

瑞士吉姆萨染色
编号:YSY10128

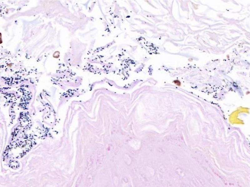
快速革兰氏染色
编号:YSY10129
