服务热线:400-009-9814
搜索
首页
动物实验
技术服务
实验报告
产品中心
新闻动态
关于我们
首页
动物实验
技术服务
实验报告
产品中心
新闻动态
关于我们
企业微信
联系电话
公众号
返回顶部
首页
动物实验
动物实验服务项目
循环系统疾病动物模型
呼吸系统疾病动物模型
消化系统疾病动物模型
泌尿系统疾病动物模型
生殖系统疾病动物模型
内分泌、血液、免疫系统疾病动物模型
神经、精神系统疾病动物模型
眼科疾病动物模型
口腔、耳鼻咽喉相关疾病动物模型
运动系统疾病动物模型
皮肤病动物模型
常用中医证候动物模型
食管癌动物模型
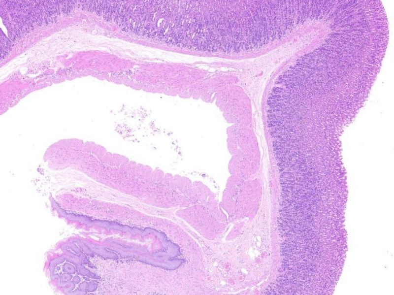
胃炎动物模型
消化性溃疡动物模型
胃癌动物模型
病毒性肝炎动物模型
消化系统疾病动物模型
肝癌动物模型
胰腺炎动物模型
胰腺癌动物模型
炎症性肠病动物模型
结肠直肠癌动物模型